×
欢迎光临本店! 登录 注册
服务热线:

400-000-7085

购物车暂无商品,赶紧选购吧!
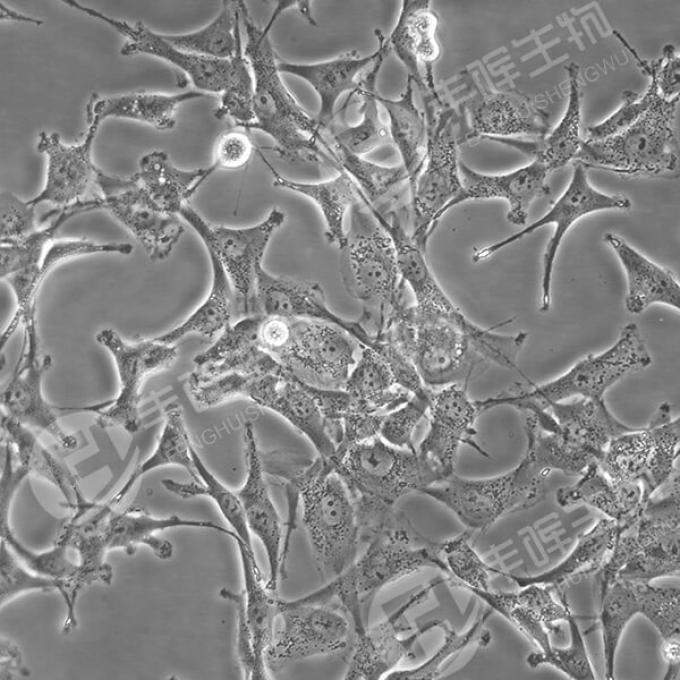
A172细胞(人脑胶质瘤细胞)
  • 商品货号:CL0016
  • 活动价: ¥899元
    市场价:¥1500元
    已售 33 件 | 评价 0 人次 | 关注度 2129
    浏览历史清除
    • 细胞信息
     
    发货规格 1×10⁶
    别名 A-172, A 172, A-172 MG, A-172MG
    形态 成纤维细胞样
    生长特性 贴壁
    培养条件 DMEM+10%FBS+1%P/S
    冻存条件 90%FBS+10%DMSO
    传代方式 胰酶消化
    倍增时间 40h
    传代比例 1:2~1:4
    换液频率 每周2~3次
    生物安全等级 1
    • 细胞背景
     
    种属 人源
    组织来源
    肿瘤类型 胶质母细胞瘤;
    供体信息 53岁白人男性
    背景描述 A172是从一名53岁胶质母细胞瘤男性患者的脑组织中分离出来的细胞系。该细胞系可用于神经科学研究。
    • 遗传背景
     
    致瘤性 在半固体培养基中形成克隆,在免疫一致小鼠中没有致瘤性
    突变信息 没有IDH1突变
    STR鉴定
    STR位点信息
    STR鉴定图
    Amelogenin X,Y
    CSF1PO 9,11 (PubMed=17254797) 9,12 (AddexBio=C0005009/5018; ATCC=CRL-1620; CLS=300108; Cosmic-CLP=687563; ECACC=88062428; IZSLER=BS TCL 2; JCRB=JCRB0228; KCLB=21620; PubMed=22570425; PubMed=25877200; RCB=RCB2530; TKG=TKG 0183)
    D1S1656 12,14
    D2S1338 20,21
    D3S1358 14,18 (ATCC=CRL-1620; CLS=300108; PubMed=22570425; PubMed=25877200) 15,18 (PubMed=17254797)
    D5S818 11,12
    D6S1043 13,18
    D7S820 11
    D8S1179 13,14
    D12S391 22
    D13S317 11
    D16S539 11 (PubMed=17254797) 12 (AddexBio=C0005009/5018; ATCC=CRL-1620; CLS=300108; Cosmic-CLP=687563; ECACC=88062428; IZSLER=BS TCL 2; JCRB=JCRB0228; KCLB=21620; PubMed=22570425; PubMed=25877200; RCB=RCB2530; TKG=TKG 0183)
    D18S51 12,13
    D19S433 12,15.2
    D21S11 27,32 (PubMed=17254797) 28,32.2 (ATCC=CRL-1620; CLS=300108; IZSLER=BS TCL 2; PubMed=22570425; PubMed=25877200)
    FGA 20,22
    Penta D 9,13
    Penta E 5,10
    TH01 6,9.3 (AddexBio=C0005009/5018; ATCC=CRL-1620; CLS=300108; Cosmic-CLP=687563; ECACC=88062428; IZSLER=BS TCL 2; KCLB=21620; PubMed=22570425; PubMed=25877200; RCB=RCB2530; TKG=TKG 0183) 6,10 (JCRB=JCRB0228; PubMed=17254797)
    TPOX 8,11
    vWA 17,20 (RCB=RCB2530) 20 (AddexBio=C0005009/5018; ATCC=CRL-1620; CLS=300108; Cosmic-CLP=687563; ECACC=88062428; IZSLER=BS TCL 2; JCRB=JCRB0228; KCLB=21620; PubMed=17254797; PubMed=22570425; PubMed=25877200; TKG=TKG 0183)